Ćwiczenia z pękniętą łąkotką: Jak bezpiecznie wrócić do formy
Dowiedz się, czy i jak można ćwiczyć z pękniętą łąkotką. Poznaj bezpieczne metody rehabilitacji, aktywności fizycznej i powrotu do sportu po urazie. Eksperci radzą, jak wrócić do formy.
Ćwiczenia z pękniętą łąkotką: Jak bezpiecznie wrócić do formy
Dowiedz się, czy i jak można ćwiczyć z pękniętą łąkotką. Poznaj bezpieczne metody rehabilitacji, aktywności fizycznej i powrotu do sportu po urazie. Eksperci radzą, jak wrócić do formy.
Wysięk z rany: co oznacza i jak prawidłowo go pielęgnować
Dowiedz się, czym jest wysięk z rany i jak prawidłowo go pielęgnować. Poznaj rodzaje wysięku, jego rolę w gojeniu oraz skuteczne metody opatrywania ran z wydzieliną.
Wyciek z odbytu przy stomii: przyczyny i skuteczne sposoby leczenia
Dowiedz się, dlaczego występuje wyciek z odbytu przy stomii oraz jakie są skuteczne metody leczenia. Poznaj przyczyny, objawy i sposoby radzenia sobie z tym problemem.
Życie bez jelita cienkiego: wyzwania i możliwości przetrwania
Czy można przeżyć bez jelita cienkiego? Poznaj wyzwania zespołu krótkiego jelita, metody leczenia i żywienia pozajelitowego oraz nowe perspektywy, które dają nadzieję pacjentom.
Leczenie wstrząsu mózgu w domu - Kluczowe zasady i środki ostrożności
Leczenie wstrząsu mózgu w domu wymaga odpoczynku, obserwacji objawów i odpowiednich środków ostrożności. Dowiedz się, jak skutecznie wspierać zdrowienie.
Skuteczne leczenie szpotawości kolan u dorosłych - metody i porady
Poznaj skuteczne metody leczenia szpotawości kolan u dorosłych. Dowiedz się, jak fizjoterapia, ortopedia i zmiany stylu życia mogą pomóc w walce z tą deformacją. Sprawdzone porady i terapie.
Nadżerka kości: skuteczne metody leczenia i rehabilitacji
Poznaj skuteczne metody leczenia nadżerek kości. Dowiedz się, jak farmakoterapia i rehabilitacja mogą pomóc w walce z tą chorobą. Sprawdź, co robić, by zahamować postęp erozji kości.
Usztywnienie na kciuk: kiedy stosować i jak działa? Poradnik
Poznaj rodzaje usztywnienia na kciuk, wskazania do stosowania i korzyści. Dowiedz się, jak prawidłowo używać stabilizatora kciuka i jakie są potencjalne skutki uboczne.
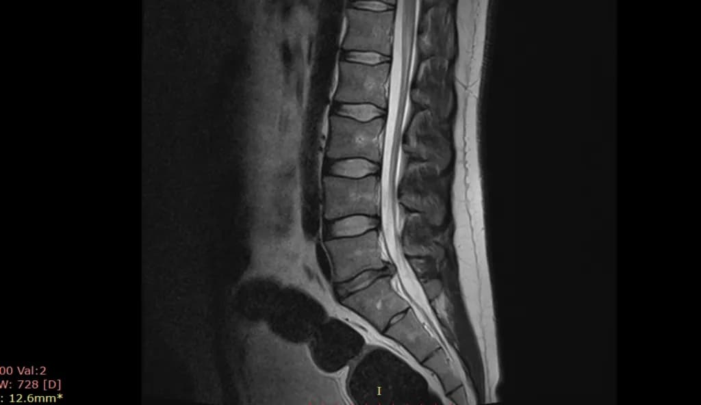
Czy przepuklina kręgosłupa może się cofnąć? Fakty i mity
Czy przepuklina kręgosłupa może się cofnąć? Poznaj fakty o spontanicznej regresji, czynnikach wpływających na wchłanianie się przepukliny i roli rehabilitacji w procesie leczenia.
Wrzody żołądka: objawy i skuteczne domowe metody leczenia
Poznaj objawy wrzodów żołądka i skuteczne domowe metody leczenia. Dowiedz się, jak naturalne sposoby i odpowiednia dieta mogą pomóc w walce z tą dolegliwością. Sprawdzone porady!