
Wysięk z rany: co oznacza i jak prawidłowo go pielęgnować
Dowiedz się, czym jest wysięk z rany i jak prawidłowo go pielęgnować. Poznaj rodzaje wysięku, jego rolę w gojeniu oraz skuteczne metody opatrywania ran z wydzieliną.

Dowiedz się, czym jest wysięk z rany i jak prawidłowo go pielęgnować. Poznaj rodzaje wysięku, jego rolę w gojeniu oraz skuteczne metody opatrywania ran z wydzieliną.

Dowiedz się, czy możesz wybrać sanatorium z NFZ. Poznaj zasady przydziału, różnice między leczeniem stacjonarnym a ambulatoryjnym i sposoby na zwiększenie szans na preferowane miejsce.

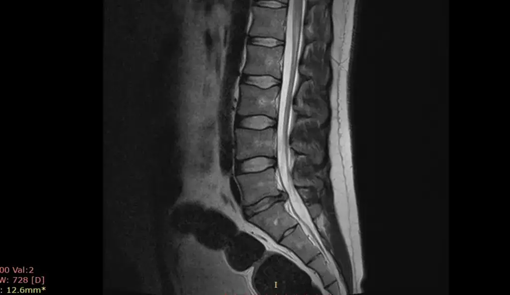
Czy przepuklina kręgosłupa może się cofnąć? Poznaj fakty o spontanicznej regresji, czynnikach wpływających na wchłanianie się przepukliny i roli rehabilitacji w procesie leczenia.

Poznaj kryteria i korzyści związane ze stopniem niepełnosprawności przy RZS. Dowiedz się, jak ubiegać się o orzeczenie i jakie świadczenia przysługują osobom z reumatoidalnym zapaleniem stawów.

Poznaj zasady żywienia przy jednej nerce. Dowiedz się, jak ograniczyć białko, sód i fosfor w diecie nerkowej. Sprawdź listę zalecanych produktów i technik gotowania.

Poznaj kluczowe zmiany w stolcu przy raku jelita grubego. Dowiedz się, jakie objawy powinny Cię zaniepokoić i kiedy skonsultować się z lekarzem. Wczesne wykrycie to szansa na skuteczne leczenie.

Dowiedz się, jak przyspieszyć gojenie złamanej nogi dzięki odpowiedniej diecie. Poznaj kluczowe składniki, źródła pokarmowe i praktyczne wskazówki żywieniowe dla szybszej rekonwalescencji.

Dowiedz się, jak skutecznie leczyć wybity bark. Poznaj etapy terapii, od nastawienia po rehabilitację, oraz metody zapobiegania nawrotom. Szybki powrót do sprawności jest możliwy!

Poznaj skuteczne metody leczenia przepukliny jądra miażdżystego. Od terapii zachowawczej po zabiegi operacyjne - dowiedz się, jakie opcje są dostępne i która może być najlepsza dla Ciebie.

Poznaj skuteczne metody leczenia zerwania ATFL. Dowiedz się o rehabilitacji, operacjach i terapii uszkodzeń więzadła strzałkowo-skokowego przedniego. Przywróć stabilność stawu skokowego!